Young Man's Bizarre Incident Leads to Surgery After USB Cable Mishap
A Disturbing Incident in the UK
Individuals sometimes engage in reckless behavior that can lead to serious consequences for themselves and their families. A young man in the UK recently made a grave mistake when he inserted a USB cable into his private area and was unable to remove it, necessitating surgical intervention.
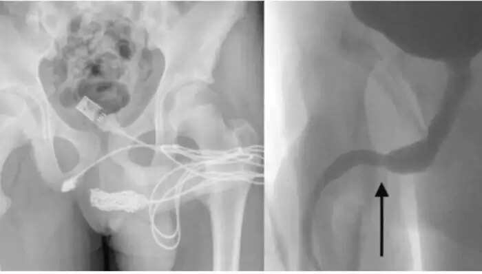
The incident occurred while the young man was alone in his room, attempting to measure his private part. He noticed a USB cable nearby and decided to insert it for measurement. However, when he attempted to pull it out, it became lodged inside. Despite his efforts to forcibly extract it, he began to bleed, prompting him to stop and call for his parents. They rushed him to a nearby hospital, but he was subsequently referred to the University College Hospital in London for further treatment.
Surgical Procedure Required
Doctors had to perform surgery to remove the USB cable from his private area. After making a significant incision near the penis, they successfully extracted the cable. A CT scan revealed the cable lodged inside, leaving the medical team with no option but to proceed with the operation. Following a successful surgery, the doctors informed that the young man was discharged without any internal injuries, although he would need to return for a follow-up scan in two weeks.
The young man explained that his curiosity about the length of his private part led him to insert the USB cable, but it became stuck when he tried to remove it, resulting in bleeding.
Experts Warn Against Dangerous Behavior
Potentially Life-Threatening Actions
Experts have cautioned that engaging in such bizarre actions can be life-threatening and may lead to serious long-term consequences. They advise against any similar behavior, as there have been instances where individuals have inserted objects like seeds or magnetic balls into their private areas, which is entirely harmful and misguided.
